İçeriğe git

Boy Uzatma - Prof. Dr. Halil BURÇ Resmi Sitesidir.

Menüyü atla
Menüyü atla
Menüyü atla
BOY UZATMA
Boy uzatma ameliyatı nedir?
Boy uzatma ameliyatı kol ve bacakta olan kısalıkları gidermek için uyguladığımız bir ameliyat türüdür. Boy uzatma işlemi travma nedeni ile yada doğumsal sebeplerden tek taraflı kısalığı olanlarda veya kozmetik nedenlerle boyunu uzatmak isteyen hastalarda uygulanılan bir tekniktir. Boy Uzatma ameliyatında sigara, alkol ve antidepresan kullanımı sonucu olumsuz yönde etkilemektedir. Bu nedenle hastanın değerlendirilmesi esnasında bu ve benzeri konuları detaylı olarak irdelemekteyiz.
Bu ameliyat için birkaç farklı teknik kullanılmaktadır. Hepsinin ortak noktası uzatma yapılan kemik, özel bir teknik ile osteotomize (kırmak) edildikten sonra 1 hafta bekleme süresi sonrası günde 1mm uzatarak tedaviye devam edilir. Uzama hattı planlanan mesafeye ulaşıldığında sistem kilitlenir ve kemiğin sertleşmesi beklenir. Tedavi süresi yapılacak uzatma miktarı ile doğru orantılıdır. Genellikle uzatma yapılan günün iki katı daha bekleme süresi vardır. Buna karar vermek için hastanın belirli aralıklar ile kontrol grafilerini görmek gerekir.

Boy uzatma ameliyatı yöntemleri nelerdir?
  1. İlizarov sirküler eksternak fiksatörü ile uzatma:
Bu yöntemde kemiğe osteotomi yapıldıktan sonra ekstremiteyi 360 derece saran dışarıdan çember şeklinde bir sistem kurulur. Günde 4 defa çeyrek tur işaretlenen somunu açarak 1 mm uzatma sağlanır.
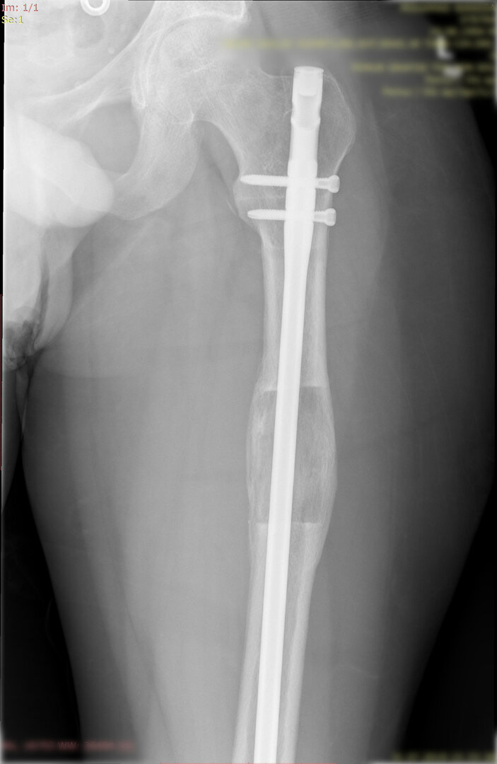
  1. Kombine yöntem ile uzatma (LON-lengthening over nail- Çivi üzerinden uzatma):
Bu yöntemde uzatılacak kemiğin içerisine osteotomi sonrası bir intramedülller çivi yerleştirilir ve dışarıdan tek yönlü bir eksternal fiksatör kemiğe adapte edilir. Dışarıdan yine günde 4 defa çeyrek tur açarak 1 mm uzatma sağlanır. Uzatma miktarına ulaşılınca çivi kilitlenir ve uzayan bölümün sertleşmesi beklenir.
  1. Manyetik intramedüller çivi ile uzatma:
Bu yöntemde uzatılacak kemiğin içerisine osteotomi sonrası bir manyetik intramedülller çivi yerleştirilir. Bu yöntemde dışarıdan yardımcı ek bir sistem yoktur. Uzatma hastanın bacağının üzerine dışarıdan konulan özel bir  mıknatıs ile sağlanır. Uzama istenilen miktara ulaştığında çivi yine kilitlenir ve kemiğin sertleşmesi beklenir. İki tür manyetik çivi bulunmaktadır: birincisi ilk jenerasyon olup içindeki dişli sistemine zarar vermemek adına hastanın yük vermesine izin verilmez; diğeri yani ikinci jenerasyon olan çivi ile hastanın yürümesine ve yük vermesine izin verilir.

Boy uzatma ameliyatı anlatım ve içerik.
57 sn. uzunluk.
Görüntüleri büyütmek için üzerine tıklayınız.
Görseli büyütmek için üzerine tıklayınız. Görseli büyütmek için üzerine tıklayınız. Radyografi görseli büyütmek için üzerine tıklayınız. Radyografi görseli büyütmek için üzerine tıklayınız. Radyografi görseli büyütmek için üzerine tıklayınız.
Menüyü atla
İçeriğe dön