
Diz protezi nedir, ne işe yarar?
Diz ağrısı, özellikle ilerleyen yaşlarda ya da uzun süren eklem problemleriyle birlikte günlük yaşamı ciddi şekilde
zorlamakta. Oturup-kalkmak, alışveriş yapmak, merdiven çıkmak, hatta uyurken bile diz ağrılarınız sizi rahatsız ediyorsa, artık sadece “yaşlandım” demenin ötesine geçmenin zamanı gelmiş demektir.
zorlamakta. Oturup-kalkmak, alışveriş yapmak, merdiven çıkmak, hatta uyurken bile diz ağrılarınız sizi rahatsız ediyorsa, artık sadece “yaşlandım” demenin ötesine geçmenin zamanı gelmiş demektir.İşte tam bu noktada devreye "diz protezi" giriyor. Hayat kalitenizi artırmanız bir anlamda sizin elinizde.
Diz Protezi Ameliyatı
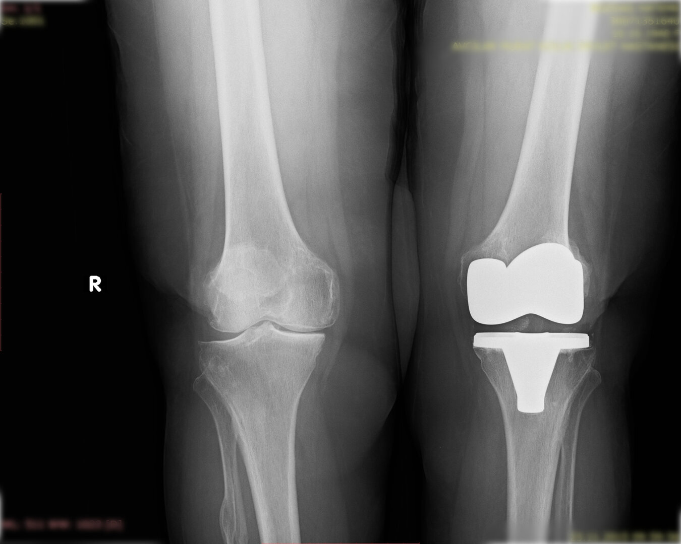
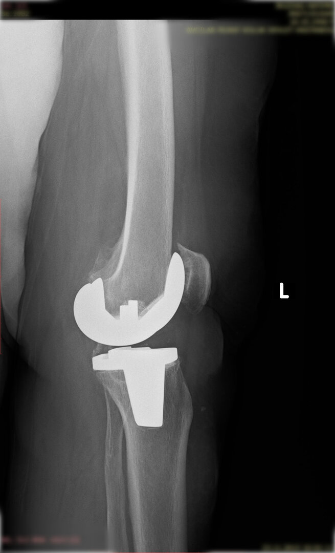
Aşınmış, hasar görmüş ya da eklem yüzeyleri tamamen bozulmuş diz ekleminin, yapay bir eklemle değiştirme işlemidir. Ameliyatta, ağrıya neden olan hasarlı kemik ve kıkırdak dokular çıkarılarak; yerine metal ve özel plastikten yapılmış, uzun ömürlü bir protez yerleştirilir. Bu sayede diz, tekrar ağrısız ve stabil bir şekilde çalışır hale gelir.
Peki kimlere yapılır? Genellikle osteoartrit (eklem kireci) ilerlemiş, ağrı ilaçlarla ya da enjeksiyonlarla geçmeyen, fizik tedavisi yeterli kalmayan kişiler bu ameliyat için adaydır. Tabii karar; MRI, röntgen, muayene ve doktor-hasta görüşmesiyle birlikte verilir.
Ameliyat sonrası ilk birkaç hafta çok önemlidir. Fizik tedavi doktoru veya fizyoterapist eşliğinde yapılan egzersizler sayesinde hasta hızla ayağa kalkar, yürüyüşü düzene girer. Çoğu hasta, ameliyattan birkaç hafta sonra günlük aktivitelerine döner; pek çok hastamızda: “Keşke daha önce yapsaydım!” dediklerini duyarız.
Protezler doğru kullanıma bağlı olarak, 15-20 yıl, hatta daha uzun süre görev yapabilir. Doğru bakım ve sağlıklı bir yaşam tarzıyla bu süre uzatılabilir.Eğer diz ağrınız sizi yiyip bitiriyor ve yaşama keyfinizi kaçırmaya, hayat kalitenizi düşürmeye başladıysa, bir ortopedi uzmanına görünmekten çekinmeyin. Belki de sizin de “eskiden olduğu gibi yürümek”, “ağrıdan uyanmamak” gibi rahat bir hayata dönmeniz, bir protezle mümkün olabilir.
Diz ağrınız;
- günlük hayatınızdaki basit hareketleri bile zorlaştırıyor,
- uyumanızı engelliyorsa veya
- ağrı kesiciler artık size yardımcı olmuyorsa, bir ortopedi cerrahına başvurarak diz protezi ameliyatının sizin için uygun olup olmadığını değerlendirmenizi öneririz. Sağlıklı ve ağrısız bir yaşama bir adım daha yaklaşmak mümkün!
Gonartroz Nedir ve Nasıl Tedavi Edilir?
Gonartroz (diz eklemi kireçlenmesi) tedavisinde protez cerrahisi öncesinde bir takım tedaviler uygulanmaktadır.

Artık hastanın ağrılarının artması, 100 metre bile yol yürüyememesi, istirahat ve ağrı kesicilere rağmen ağrılarının devam etmesi durumunda total diz protezi ameliyatı planlamaktayız. Bu ameliyat için önemli bir kriter de hastanın yaşıdır. Genç hastada özellikli bir durum olmadıkça tercih ettiğimiz bir tedavi yöntemi değildir.
Sıkça Sorulan Sorular
Ameliyat sonrası hastayı neler bekliyor?
Hasta ameliyat sonrası diz eklem içerisine yerleştirilen dren çıkartıldıktan (genellikle 24 saat sonra çekilir) sonra ağrılarının izin verdiği ölçüde ayağının üstüne basmasına yürümesine izin verilir. Hastanın 2 saat aralıklarla 15-20 dakika yürümesini ve dizini bükmesini isteriz. Kurallarına uygun yapıldığı takdirde yüz güldürücü bir ameliyattır. Hastanın genellikle proteze adapte olması 1,5-3 ay almaktadır. Ameliyat sonrası fizik tedavi bu sürecin daha hızlı ve kolay geçmesini sağlayacaktır.

Peki total diz protezinde ne yapıyoruz?
Eklem yüzeyleri özel kılavuzlar yardımı ile temizlendikten sonra metal protez eklem yüzeylerine bir kemik çimentosu ile adapte diyoruz. Bu iki metal yüzeyin sürtünmesini azaltmak için polietilenden yapılmış özel bir plastik tabakayı sisteme dahil ediyoruz.
Büyütmek için üzerine tıklayınız.