İçeriğe git

Halluks Valgus - Prof. Dr. Halil BURÇ Resmi Sitesidir.

Menüyü atla
Menüyü atla
Menüyü atla
Halluk Valgus
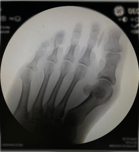
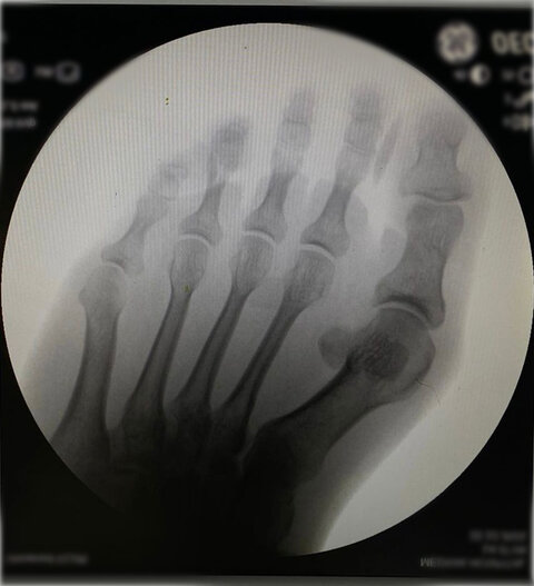
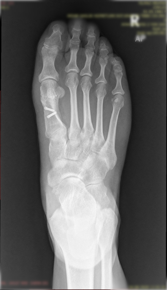
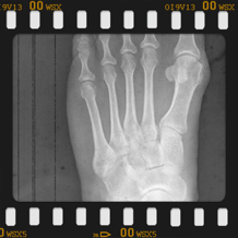
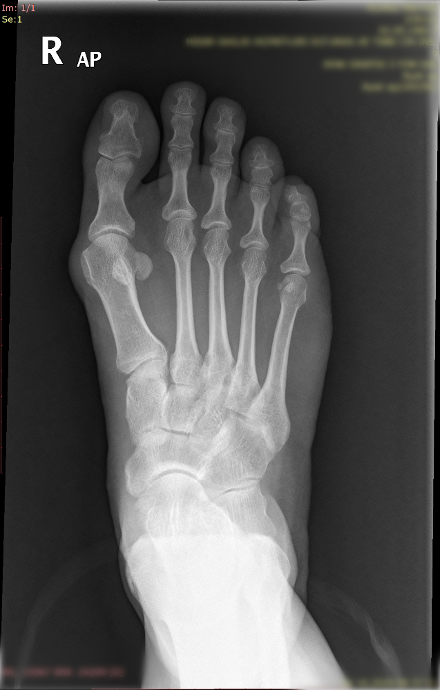
Halluk valgus ayak baş parmağının zaman içerisinde değişik nedenlerle eğilmesi ile ayak yan tarafında çıkıntının da eşlik ettiği bir rahatsızlıktır. Sıklıkla bayanlarda görülmesine rağmen erkeklerde ve çocukluk yaşlarında da karşılaşılmaktadır. Ayağın yan tarafında olan çıktı ve baş parmağın diğer parmakları itmesi ile ayakta şekil bozukluğu ve ağrı oluşur. Bu şekil bozukluğu kişinin ayakkabı giymesinde sıkıntılara neden olabilir.
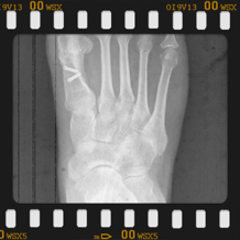
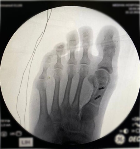
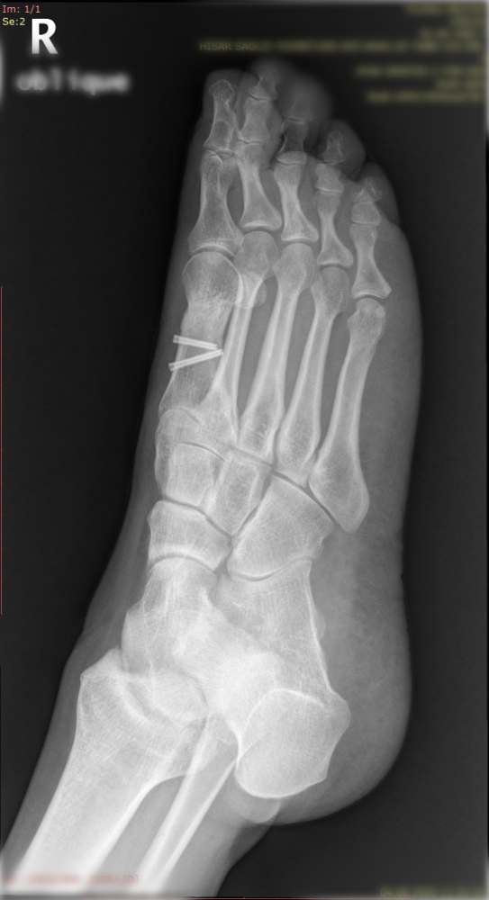
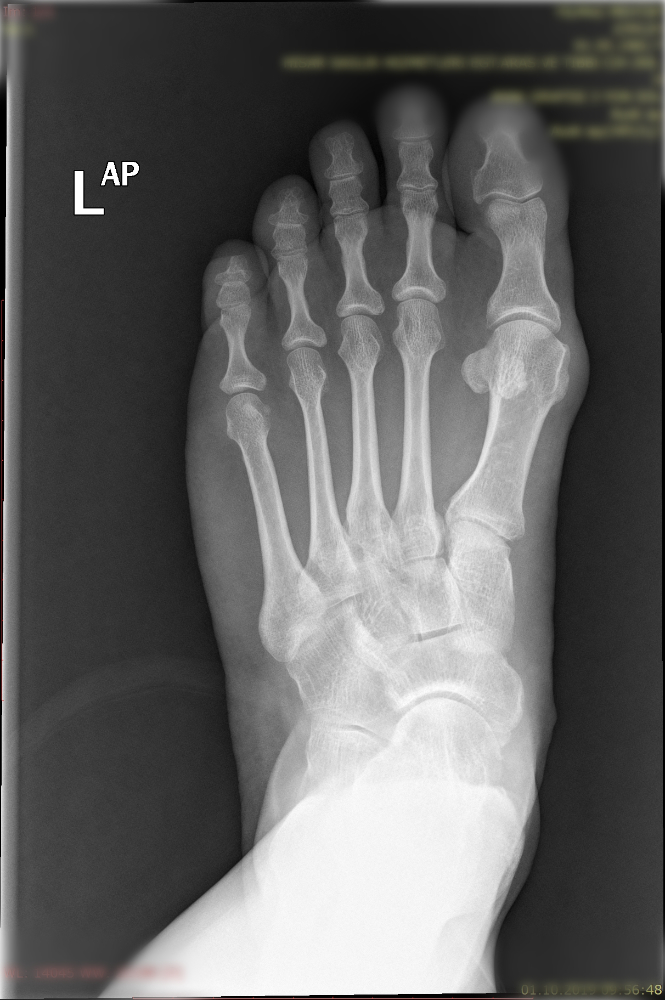
Tedavisinde ayağın yük veriri pozisyonda çekilen grafileri üzerinde yapılan ölçümlerden sonra hastanın yaşı ve aktivite seviyesine göre kişiye özel planlanmaktadır. Erken dönemlerde ayakkabı modifikasyonu, parmak arası makarası ve gece ateli kullanılmaktadır. Cerrahi gerekliliğe hastanın deformitesinin büyüklüğüne ve hastanın taleplerine göre karar verilmektedir.
Aşağıdaki grafiyi öncesi sonrası şeklinde görmek için farenizi sağ sola hareket ettiriniz.
Yukarıdaki grafileri daha net ve büyük görmek için üzerine tıklayabilir. Sağ üst köşedeki + - tuşları ile daha da büyütebilirsiniz.
Menüyü atla
İçeriğe dön